Dr. Ayesha Faizan | Indian Skin Hair Aesthetics Skin Clinic

Lichen Planus

Understanding Lichen Planus

Lichen Planus is a chronic inflammatory condition that affects the skin, scalp, nails, and mucous membranes. It commonly presents as itchy, flat-topped, purplish bumps on the skin and may cause discomfort or discoloration over time. When it affects the mouth or scalp, it can lead to painful sores, hair thinning, or scarring alopecia if left untreated. Though the exact cause remains unclear, Lichen Planus is often linked to immune system reactions, certain medications, or infections. At our leading aesthetic dermatology clinic in India, we offer accurate diagnosis and personalized treatments to relieve symptoms, prevent complications, and restore skin health and confidence.

Causes and Risk Factors

Lichen Planus is not contagious, but it can arise due to multiple internal and external factors, including:

  • Autoimmune response – when the body’s immune system mistakenly attacks its own skin or mucosal cells.

  • Genetic predisposition – a family history of autoimmune or inflammatory disorders can increase the risk.

  • Medications – certain drugs for hypertension, arthritis, or diabetes may trigger a reaction similar to Lichen Planus.

  • Infections – some cases are associated with viral infections such as hepatitis C.

  • Stress and lifestyle factors – chronic stress, hormonal changes, and emotional strain can aggravate symptoms.

Our dermatologists perform a thorough assessment to identify possible triggers and create a holistic plan to manage both symptoms and underlying causes.

Common Signs and Symptoms

Lichen Planus may appear differently depending on the area affected. The most common signs include:

  • Skin lesions – small, polygonal, purplish bumps with a shiny surface, often on wrists, ankles, lower back, or genital area.

  • Itching and discomfort – persistent itching that worsens at night or with stress.

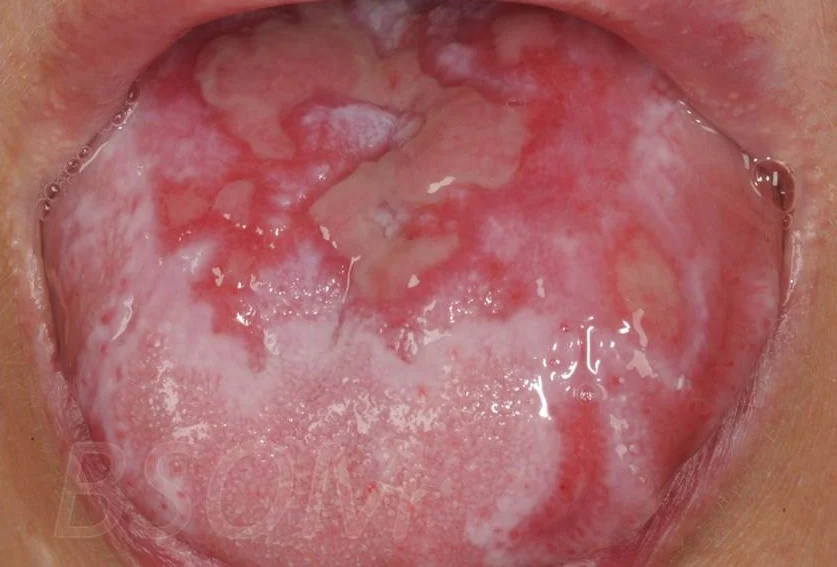
  • Mouth lesions – white, lacy patches inside the cheeks, gums, or tongue that may cause burning sensations.

  • Scalp involvement – redness, scaling, and hair loss due to Lichen Planopilaris (a variant affecting hair follicles).

  • Nail changes – thinning, ridging, or splitting of nails.

Early diagnosis is essential to prevent long-term pigmentation, scarring, or hair loss.

Diagnosis at Our Clinic

We use advanced diagnostic tools and dermatological expertise to confirm the presence and type of Lichen Planus. Diagnosis usually includes:

  • Detailed skin examination under dermatoscope.

  • Skin biopsy for microscopic analysis of affected tissues.

  • Blood investigations to check immune markers or viral associations.

  • Patch testing to rule out contact allergies.

Our dermatology team ensures a precise diagnosis to determine the best-suited treatment for each individual case.

Personalized Treatment Options

Treatment for Lichen Planus focuses on reducing inflammation, controlling symptoms, and preventing recurrence. At our clinic, we offer a range of scientifically proven and safe options customized for every patient.

1. Topical and Oral Medications

  • Corticosteroid creams or ointments to reduce inflammation and itching.

  • Calcineurin inhibitors for sensitive areas like face or genitals.

  • Oral corticosteroids or immunomodulators in extensive cases.

  • Antihistamines to control itching and improve sleep.

2. Phototherapy (Light Therapy)

Narrowband UVB or PUVA therapy is used to reduce inflammation and clear skin lesions effectively, especially in widespread cases.

3. Platelet-Rich Plasma (PRP) for Scalp Lichen Planus

For patients experiencing scalp involvement and hair loss, PRP therapy can stimulate follicle regeneration, reduce inflammation, and promote natural hair growth.

4. Advanced Laser Therapy

Fractional lasers help minimize pigmentation or scars left after lesions heal, restoring smoother and even-toned skin.

5. Oral and Mucosal Care

Specialized mouth rinses, soothing gels, and systemic medications are prescribed for oral Lichen Planus to reduce burning and promote healing.

6. Lifestyle and Diet Management

Since stress and immune imbalance play a major role, we guide patients on relaxation techniques, yoga, and balanced nutrition to enhance recovery and maintain long-term results.

Why Choose Our Clinic

Our clinic is recognized across India for advanced dermatological and aesthetic care delivered with compassion and precision. Here’s what sets us apart:

  • Experienced dermatologists and trichologists with expertise in autoimmune and inflammatory skin disorders.

  • State-of-the-art technology for accurate diagnosis and painless treatments.

  • Customized, holistic approach combining medical, cosmetic, and lifestyle management.

  • Strict hygiene and safety standards for every procedure.

  • Supportive aftercare and follow-up to monitor progress and prevent recurrence.

We understand that Lichen Planus not only affects the skin but also emotional well-being. Our team ensures that every patient receives empathetic, personalized attention throughout their treatment journey.

Recovery and Aftercare

With timely and consistent treatment, most patients experience significant improvement within a few weeks to months. However, since Lichen Planus can be chronic or recurrent, regular follow-up visits help in adjusting medications and maintaining healthy skin.

Patients are advised to:

  • Avoid scratching or using harsh soaps.

  • Stay away from stress triggers and maintain adequate sleep.

  • Follow prescribed skincare routines and sun protection.

  • Maintain a nutritious, anti-inflammatory diet.

Our clinic’s comprehensive care approach ensures not only visible results but also lasting comfort and confidence.

Call Now Button